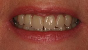
This is a great example of how a good set of dentures can transform a patients life.
These are the before pictures:



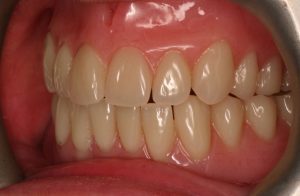
And the after pictures:





Implants placed by Dr Craig Parker
Clinical work carried out by Jonathan Hughes CDT
Laboratory work by Jonathan Hughes at Hughes Dental Laboratory